INICIO
Quienes Somos
Estudios
EQUIPOS
CONTACTO
Estudios en línea
Estudios 2D
Home
Estudios 2D
01 PANORÁMICA
02 ATM 2D
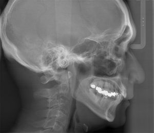
03 CEFALOGRAMA
04 MANO Y CARPO
MODELOS
MODELOS
×