Paquetes

Ortodoncia Completo

  1. Radiografia panorámica
  2. Radiografia CEF
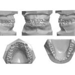
  3. Modelos de estudio
  4. Fotografia intraoral
  5. Fotografia extraoral
  6. Trazado cefalometrico

Pano – CEF

  1. Radiografia Panoramica
  2. Radiografia CEF

ORTODONCIA BASICO

  1. Radiografia panorámica
  2. Radiografia CEF
  3. Modelos de estudio